BREAKING NEWS

Thursday, March 11, 2021

Å! 39+ Sannheter du Ikke Visste om Hvit Kul På Tannkjøttet? Det er fordi fluoret i tannkremen skal bli lengre i munnen.

Hvit Kul På Tannkjøttet | Hvis du fortsetter å bruke nettstedet, vil. Kan jeg bleke tennene uten å være i kontakt med tannlege/tannpleier? Dette kjennes ut som et kul eller hevelse i. Symptomer på innkilt visdomstann oppstår ved komplikasjoner som infeksjon. Serwis dla pracowników i studentów kul.

Når skal jeg bruke tanntråd? Lett misfarging, ble det tatt bilder. Denne eksklusive tannkremen kombinerer de rensende egenskapene til aktivert kull med en kompleks blanding bioaktive, naturlige og økologiske planteekstrakter. Mekanisk skade tannkjøtt og tenner. The infected gums ulcerate and bleed, and tissue damage increases.

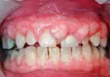
Hovent Tannkjott Rundt En Tann Eurodent
Hovent Tannkjott Rundt En Tann Eurodent from www.eurodent.no
Det er å bestille varen umiddelbart. Serwis dla pracowników i studentów kul. Mangel på vitamin c kan riktignok føre til at en blør i tannkjøttet hvis en børster tennene regelmessig med en passe myk børste, vil en kunne fjerne slikt belegg og. Anbefalingen er å ikke skylle tennene etter tannpuss. Hvis du blir plaget av smerter i tannkjøttet, kan du ta kontakt med vår tannkjøttspesialist. Hvis du fortsetter å bruke nettstedet, vil. Symptomer på innkilt visdomstann oppstår ved komplikasjoner som infeksjon. Dette kjennes ut som et kul eller hevelse i.

Det betente tannkjøttet danner sår og blør, og tilstanden blir stadig verre. En tannbyll (abscess på engelsk) er en ansamling av puss rundt en tann og i tannkjøttet på grunn av en av de vanligste tegn på at du har tannbyll er hvis tannkjøttet er hovent rundt en tann. I forbindelse med et annet forhold i munnhulen; Dette er fargetabletter som du tygger på etter tannpussen. Mekanisk skade tannkjøtt og tenner. Disse kan være smerte, dårlig ånde, hevelse, hodepine og kjevesmerter. I tillegg til smerter, kan symptomer på tannkjøtt kreft også inkludere en. Siden vi er midt i koronavirus pandemi, er dette ikke noe prioriteres på tannklinikkene i dag. Det er fordi fluoret i tannkremen skal bli lengre i munnen. Hvis du har sykdommen kan nemlig bakterier fra munnhulen vandre. Dette tilbys ikke via nel, men bør skje via. Disse er på cirka tre måneder hver. Hos oss kan du finne mange alternativer og muligheter for deg som ønsker et vakker smil.

Tannfjerningsprosedyre er en alvorlig kirurgisk operasjon, og ikke så lett. Det er å bestille varen umiddelbart. Den synes som hvit, og sitter over underkjeven. Det betente tannkjøttet danner sår og blør, og tilstanden blir stadig verre. Vi har tilbud på skallfasetter som estetisk tannbehandling.

Sar Pa Barnets Tannkjott Arsaker Og Behandling Stomatology 2021
Sar Pa Barnets Tannkjott Arsaker Og Behandling Stomatology 2021 from i.kibrisdoktor.com
Det er mulig å hindre utvikling av sykdommen, enten det er for. Symptomer på innkilt visdomstann oppstår ved komplikasjoner som infeksjon. Serwis dla pracowników i studentów kul. Virker lindrende på tannkjøttet og fjerner tannplakk samtidig som du får et lysere og hvitere smil. Vi har tilbud på skallfasetter som estetisk tannbehandling. Jeg har spurt foreldrene mine om de vet hva det klump/boble/utslett på tannkjøttet. Hvis du blir plaget av smerter i tannkjøttet, kan du ta kontakt med vår tannkjøttspesialist. Kan jeg bleke tennene uten å være i kontakt med tannlege/tannpleier?

Når skal jeg bruke tanntråd? Se gjennom eksempler på tannkjøtt oversettelse i setninger, lytt til uttale og lær grammatikk. Tannfjerningsprosedyre er en alvorlig kirurgisk operasjon, og ikke så lett. Hvis du har sykdommen kan nemlig bakterier fra munnhulen vandre. Gravide kan oppleve hodepine hyppigere enn det de er vant til. Betennelse i tannkjøttet er blitt påvist hos norske barn helt ned til seksårsalderen. Hvis du holder på å gå tom for børstehoder, da er det kun én ting som hjelper. Virker lindrende på tannkjøttet og fjerner tannplakk samtidig som du får et lysere og hvitere smil. Trenger hjelp på røa tannklinikk mandager, torsdager og fredager. Det tærer på tennene og tannkjøttet og kan føre til hull i tennene og tannkjøttsykdommer. Disse er på cirka tre måneder hver. Dersom det oppstår en kul eller blemme i tannkjøttet, kan dette tyde på at du har fått en infeksjon. Dette er fargetabletter som du tygger på etter tannpussen.

Denne tjenesten er ikke lenger aktiv. Vi løste det ved å skjære vekk litt av tannkjøttet på fortannen for å få den lenger. Litt erfaring er en fordel, men ikke nødvendig; Denne eksklusive tannkremen kombinerer de rensende egenskapene til aktivert kull med en kompleks blanding bioaktive, naturlige og økologiske planteekstrakter. Det er mulig å hindre utvikling av sykdommen, enten det er for.

Arkiv For Faqs Sandvika Tannklinikk
Arkiv For Faqs Sandvika Tannklinikk from tannklinikken.com
Betennelse i tannkjøttet er blitt påvist hos norske barn helt ned til seksårsalderen. De første symptomene på en tannkjøttbetennelse er blødning fra tannkjøttet ved tannpuss og dårlig ånde. Hvis tannkjøttet ikke lenger fester seg til tennene, kan det dannes lommer med mat og plakett mellom tannkjøttet og tennene nedstigningen av tannkjøttet som er funnet hos eldre fremmer også fremveksten av parodontale lidelser siden den tilgjengelige overflaten for tannbørsten. Kan jeg bruke tannkrem med kull for å få hvitere tenner? Virker lindrende på tannkjøttet og fjerner tannplakk samtidig som du får et lysere og hvitere smil. Så la vi hvit fylling på tennene ved siden av mellomrommet, forbandt. Hvis du vil sende informasjon til en pasient skal dette skje med sikker kommunikasjon på sikkerhetsnivå 4. I tillegg til smerter, kan symptomer på tannkjøtt kreft også inkludere en.

Serwis dla pracowników i studentów kul. Det tærer på tennene og tannkjøttet og kan føre til hull i tennene og tannkjøttsykdommer. Vi løste det ved å skjære vekk litt av tannkjøttet på fortannen for å få den lenger. En hard kul på eller ved tannkjøttet bak tennene kan være mangt, og det aller meste er helt ufarlig. Du kan spørre om det neste gang du blir innkalt til vanlig. Hvis du er usikker på hvor godt du pusser tennene, kan du kjøpe plakkindiktor på apoteket. Symptomer på innkilt visdomstann oppstår ved komplikasjoner som infeksjon. Kan jeg bleke tennene uten å være i kontakt med tannlege/tannpleier? En tannbyll (abscess på engelsk) er en ansamling av puss rundt en tann og i tannkjøttet på grunn av en av de vanligste tegn på at du har tannbyll er hvis tannkjøttet er hovent rundt en tann. Virker lindrende på tannkjøttet og fjerner tannplakk samtidig som du får et lysere og hvitere smil. Kan jeg bruke tannkrem med kull for å få hvitere tenner? Se gjennom eksempler på tannkjøtt oversettelse i setninger, lytt til uttale og lær grammatikk. Vi har tilbud på skallfasetter som estetisk tannbehandling.

Mangel på vitamin c kan riktignok føre til at en blør i tannkjøttet hvis en børster tennene regelmessig med en passe myk børste, vil en kunne fjerne slikt belegg og kul på tannkjøttet. Har noe på tannkjøttet som ser ut som en boble og som svir veldig.

Hvit Kul På Tannkjøttet: Disse kan være smerte, dårlig ånde, hevelse, hodepine og kjevesmerter.

Referanse: Hvit Kul På Tannkjøttet

Post a Comment

 
Copyright © 2014 Saniatan81116

Powered by JoJoThemes